Testimonials and Smile Gallery

Here is what our patients are saying about their experience at out office:

"Awesome as always!!!!!!! Great for every age.  I recommend them highly. Love the dentist and all the staff there. Super friendly and always helping you out for anything you need."

"Another great visit! Thank you!! Friendly and quick!"

"Outstanding people!!!!  They take care of our whole family."

"Great dentist office! They were very thorough and they did awesome with my daughters 2st ever check up! Highly recommend to anyone in the Killeen/Ft Hood area."

"I had a wonderful experience today.  I have been a patient for over 10 years and I am pleased with their service."

"The staff is super friendly. They take the time to answer all questions and make you feel right at home. I was seen within 5 minutes of my arrival for appointment. The two dentists there will come check on you throughout the entire visit. Love them. Go check it out."

-->

 

 

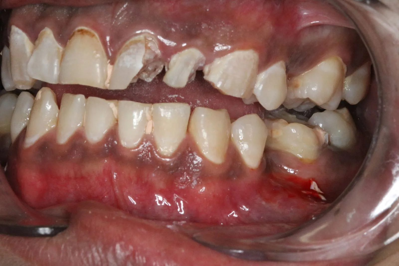
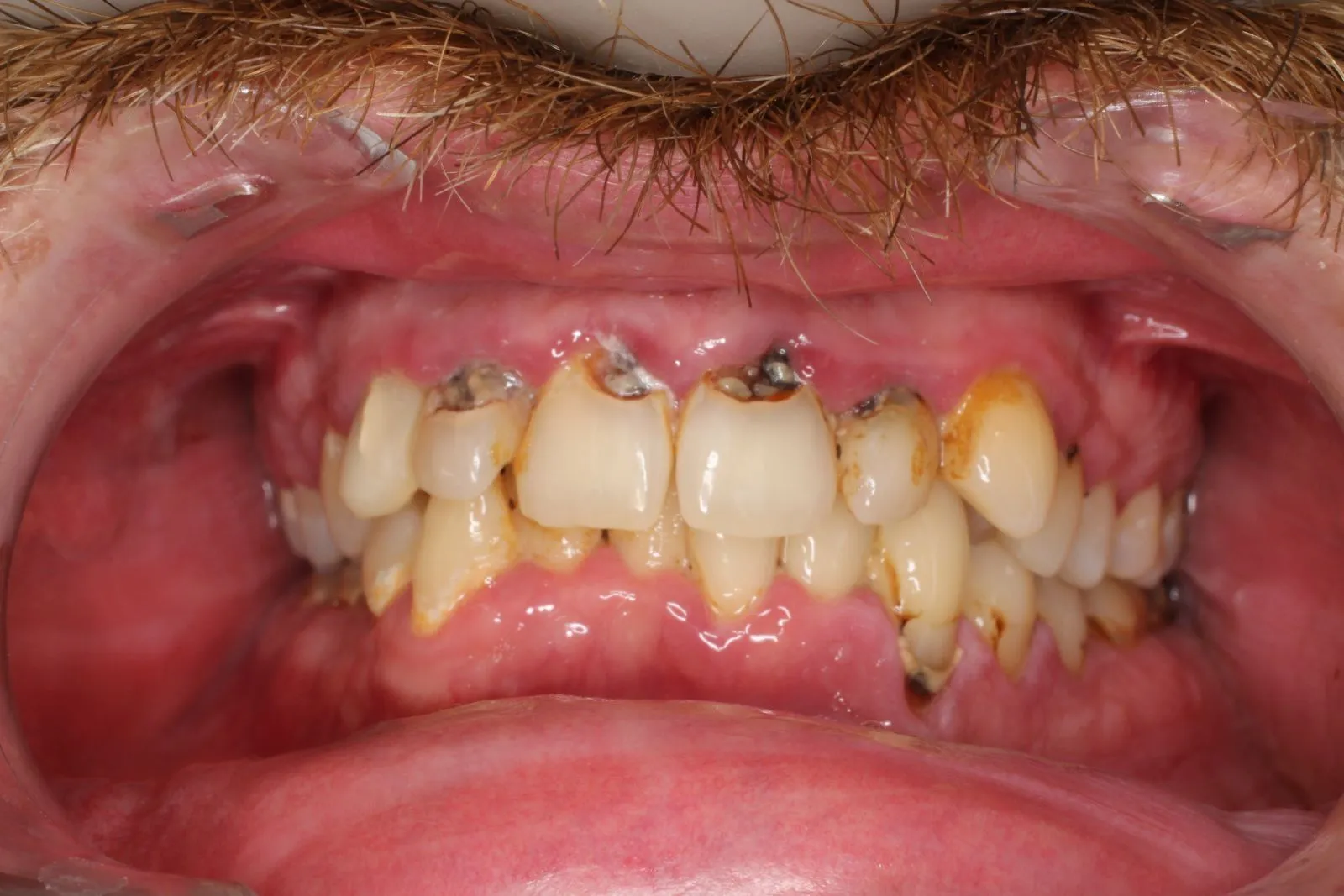
Here are some before and afters that have left our patients smiling.

 

 

 

Your smile says a lot about yourself.

The essential bare minimum is to have a healthy smile, but there should be more to your smile than health.  You should be confident in your smile. Before your appointment, ask yourself the following questions to come up with your future goals for your smile.

  • How would you describe the brightness of your smile?
  • Do you turn your face when smiling or hold your hand up to your mouth when talking with others?
  • Are you unhappy with the appearance of your teeth?
  • Do you have any silver fillings?
  • Do you have any gaps between your teeth?
  • When you take a picture do you smile with your lips closed?
  • How old are your filings, crowns and implants?

When you have come up with areas of concern that you would like addressed, communicate and prioritize your future goals with your dentist.  We are here to help you feel healthy and confident with your smile!

 

Your kind words help us to help others.

If you enjoyed your experience with our practice, please select one or more of the review sites below, and tell us about it! It only takes a few minutes, and we appreciate your feedback.

If you need assistance, click here for easy instructions for reviewing us online.